Composite Resin Fillings

The days of ugly, metal, mercury containing (amalgam) fillings are long gone. Although these fillings still exist, we have much better cosmetically pleasing and safer options to choose from. Composite is the new miracle material the dental world had been waiting for and with a 50 year history of change and evolution, today's resin composite is very close to the ideal restorative material.
What Are Composite Fillings?
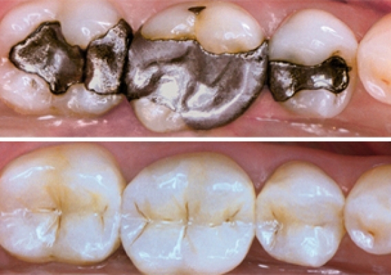
Composite is a filled resin material with almost the same workable characteristics as clay, making it easy to shape teeth almost any way we like. As in the photo, metal (amalgam) fillings are replaced by white composite fillings.
Indications for Composite Fillings
- Replacement of small to medium-sized metal (amalgam) fillings
- Restoring small to medium-sized cavities.
- Closing food traps that cause irritation and gum problems.
- Fill in yellow areas of wear and tear (biting surfaces of lower teeth)
- Cover open tooth neck areas that are unsightly and sensitive
- Replace previously stained restorations
* NEW!! With new fibre-reinforced resin fillings, larger restorations are now possible!
Advantages of Composite Fillings
- Same colour as natural teeth
- Short term alternative to crowning or porcelain inlay / onlays
- Permits less tooth structure reduction than conventional fillings
- Bonds chemically to tooth structure and eliminates unnecessary drilling
Although these composite fillings are more prone to staining and chipping than more expensive options, they provide excellent results and repairing them is just as easy!
NEW! Flowable Resin
Flowable resin is the new buzz word in resin filling materials. Flowable resin opens new doors to treat tooth wear and for use in resin veneers and 3D build up of lost tooth structure. A 3D wax or printed model of the final tooth form and shape is transfered to the mouth and the flowable resin is 'injected' into this new tooth form. This aids in copying fillings and veneers precisely from the planned pre-made wax or printed model.