Composite Bonding

One of the best kept secrets in dentistry is bonding & sculpting. Bonding is the general term used for the chemical bond of resin to tooth structure. Although Bonding is not always desirable as the best suitable option, it can create stunning results!
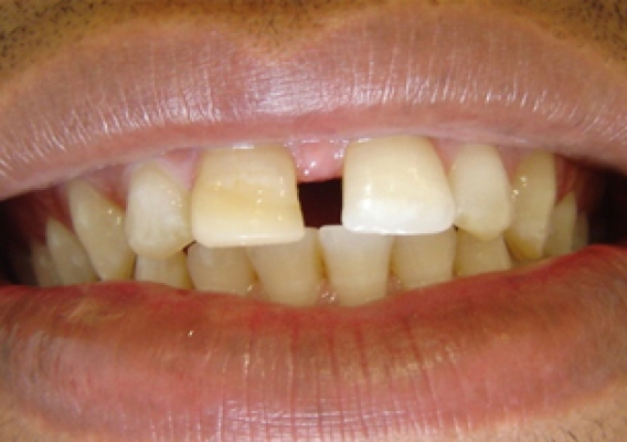
What Is Bonding/Sculpting?
If you have healthy tooth structure and want to alter the shape, colour, size or angle of a tooth, a resin material can be sculpted over a part or the whole tooth to create the desired result. Although this is not a longterm solution like porcelain crowns or veneers, it can create an amazing short to medium term result.
Bonding & Sculpting Can Be Use To:
- Close gaps between teeth (diastema)
- Change the colour of teeth
- Change the shape of teeth
- Lengthening / Shortening a tooth