Family Dentistry
Dental Cavity Check
Most people need to see the dentist every 6 months to ensure optimum dental health. 6 Months is enough time for most of us to develop tooth decay (caries) and treatment starts with diagnosing these lesions. If you already had 2 or more fillings in the past 4 years, you will be at a...
Read more
Teeth Cleaning
Teeth Cleaning aims to remove plaque, tartar, and stains that have accumulated on the teeth. Your teeth say a lot about you. Having clean teeth today is a non-negotiable issue and unfortunately will communicate a lot about your health and personal hygiene.Our teeth are under the...
Read more
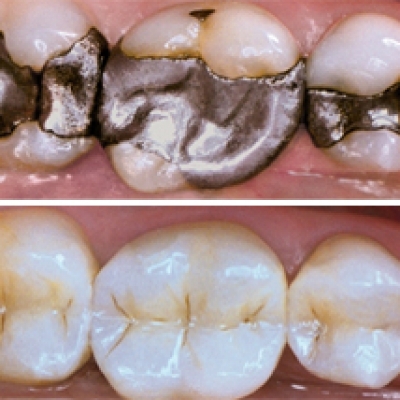
Composite Resin Fillings
The days of ugly, metal, mercury containing (amalgam) fillings are long gone. Although these fillings still exist, we have much better cosmetically pleasing and safer options to choose from. Composite is the new miracle material the dental world had been...
Read more
Dental Crowns
If you are reluctant to smile because of yellowed, injured, cracked or chipped teeth, you may want to consider dental crowns. Dental crowns, sometimes referred to as ' caps', slide over teeth like a jacket, masking imperfections and adding strength to the tooth. Dental crowns...
Read more
Dental Bridges
What Is A Dental Bridge?A Dental Bridge consist of a number of Dental Crowns that are joined together to form one single unit. It therefore 'bridges' over a gap or space, left by another tooth that was removed. Dental...
Read more
Root Canal Treatment
What is Root Canal Treatment? Root canal treatment means removal of the pulp that is found inside every tooth. Pulp is the term for all the tissues inside the canal, i.e. nerves, arteries and veins. After the pulp has been removed the tooth can no longer reacts to its environment and...
Read more
Dentures and Partial Dentures
Dentures are replacements for missing teeth and are completey removable and this means they can be taken out and put back into your mouth. Dentures will take some time to get used to, but will never feel exactly the same as one's natural teeth. Although today's modern technology can...
Read more
Stop Snoring Treatment
The Simple Way to Stop Snoring!The Stop Snoring Appliance (SSA) is a professionally custom made anti snoring appliance that is only available from your dentist. The SSA is custom made by means of intra-oral impressions, so it will fit your mouth...
Read more
Dental Extractions
Dental Extractions refer to the removal of teeth or roots. In dentistry today, many extractions are still performed to remove unwanted teeth or roots. Although we always try to keep our teeth for as long as possible, sometimes the outcome becomes too...
Read more
Gum Disease
Gum disease is a very serious dental disease. Very few people are educated about this disease. Gum disease is the GREATEST cause of tooth loss in adults! According to the World Health Organization (WHO), 10 - 15% of the world...
Read more
Bite Plates / Night guards
Our teeth are only supposed to touch during chewing and swallowing to ensure optimum dental and joint health. For many people (20 - 40%) their teeth are touching more frequently and lead to a condition called bruxism (Greek 'bryx' meaning gnashing of teeth) or teeth grinding. Teeth...
Read more
Custom Mouth / Sports Guards
We all love to play sports, but protecting your pearly whites is very important, especially in contact sports. Hundreds of oral injuries are prevented each year by wearing a mouthguard. No matter what age you are, if you are playing contact sports you are at serious risk to damage your...
Read more

